Etiket: kanser
Yeni bir kan testi, 18 farklı kanseri erken evrelerinde tespit edebiliyor...
Yeni bir kan testi, 18 farklı kanseri erken evrelerinde tespit edebiliyor .
ABD'li araştırmacılar, aracın çok çeşitli tümörleri tedavi etmenin en kolay olduğu anda tespit edebildiğini...
Müzisyen İlhan Şeşen, kansere yakalandı
Müzisyen İlhan Şeşen, kansere yakalandı
Grup Gündoğarken’in usta sesi, yorumcu ve oyuncu İlhan Şeşen’in kanser tedavisi gördüğü öğrenildi.
Müzisyen İlhan Şeşen'in akciğer kanserine yakalandığı ortaya çıktı....
Yapay zeka bazı kanser türlerinin agresifliğini derecelendirmede biyopsiden iki kat daha...
Yapay zeka bazı kanser türlerinin agresifliğini derecelendirmede biyopsiden iki kat daha doğru sonuç verdi.
Londra'da yapılan yeni araştırmaya göre, yapay zeka (AI), bazı kanserlerin agresifliğini...
Günde Sadece Bir Bardak Şekerli İçecek Kadınlarda Karaciğer Kanseri Riskini Artırıyor
Günde Sadece Bir Bardak Şekerli İçecek Kadınlarda Karaciğer Kanseri Riskini Artırıyor
ABD'de yapılan araştırmada, günde en az 1 bardak şekerli içecek tüketen menopoz dönemindeki kadınların,...
Depresyon ve kaygının kanser riskini artırdığı efsanesi çöktü… “Bunların tümörlere neden...
Depresyon ve kaygının kanser riskini artırdığı efsanesi çöktü... "Bunların tümörlere neden olduğu doğru değil"
Yeni bir çalışma, kaygı ve depresyon gibi durumların tümörlere neden olmadığını...
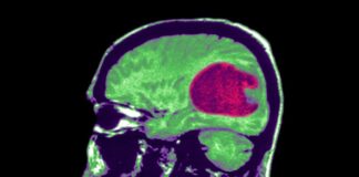
Harvard: “Yapay zeka beyin tümörü tedavisine yardımcı olabilir; Kanseri̇ çözmek için...
Harvard: "Yapay zeka beyin tümörü tedavisine yardımcı olabilir; Kanseri̇ çözmek için de ona İhtiyacımız var"
Yapay Zeka, en yaygın beyin tümörü olan gliomaların analizine yardımcı...
DSÖ; aspartam (Yapay Tatlandırıcı) kansere sebep olabilir!
DSÖ; aspartam (Yapay Tatlandırıcı) kansere sebep olabilir!
Dünyanın en yaygın yapay tatlandırıcısı aspartamın, kansere sebep olabileceği keşfedildi.
Dünya Sağlık Örgütü'nün (DSÖ) kanser araştırma kolu olan Uluslararası...
BioNTech, mRNA kanser tedavisini insanlarda denemeye başladı
BioNTech, mRNA kanser tedavisini insanlarda denemeye başladı
Kanser hücrelerine saldırmak için haberci RNA'yı (mRNA) kullanan bir kanser tedavisi, yeni bir çalışmanın tedavinin farelerde tümörleri tamamen küçültebildiğini...
Biden: Kansermiş, halledilmiş!
Biden: Kansermiş, halledilmiş!
ABD Başkanı Joe Biden'ın doktoru Kevin O'Connor, "Başkan'ın geçen ay göğsünden biyopsiyle alınan lezyonun kanserli hücre olduğunu ancak tedavi gerektirmediğini" duyurdu.
Beyaz Saray, Biden'ın göğsünde oluşan...
Karıncalar, idrar kokusundan çeşitli kanser türlerini algılayabiliyor.
Karıncalar, idrar kokusundan çeşitli kanser türlerini algılayabiliyor.
Üzerinde çalışılan bir yöntem, hayvanların koku alma duyularının kullanılmasını içeriyor.
Bilim insanları, karıncaların idrardan "kanser kokusunu" algılayabildiklerini gösterdiler ki,...


















