Harvard: “Yapay zeka beyin tümörü tedavisine yardımcı olabilir; Kanseri̇ çözmek için de ona İhtiyacımız var”
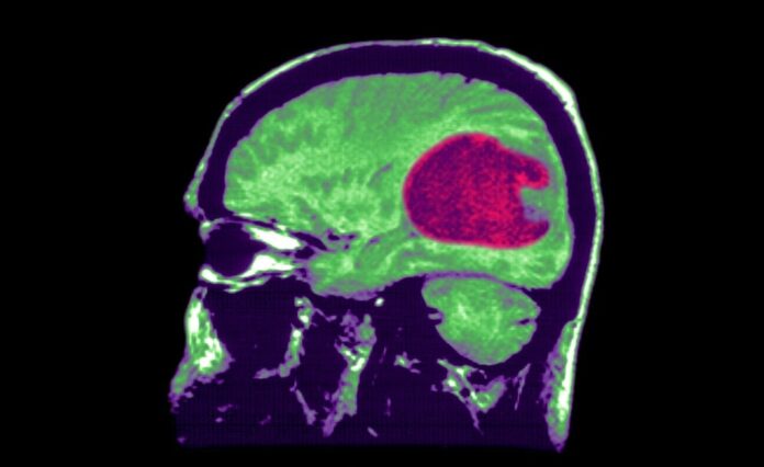
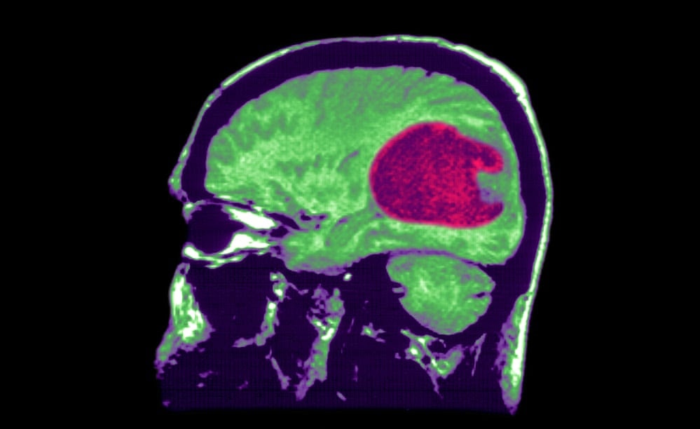
Yapay Zeka, en yaygın beyin tümörü olan gliomaların analizine yardımcı olabilir ve hastaların ameliyathanede geçirdikleri süreyi azaltabilir.
Sinirbilim araştırmacıları, beyin tümörü için kullanılan gliomları çözmek için onlarca yıldır mücadele ederken, Harvard Üniversitesi Tıp Fakültesi’nden bilim insanları, üretilen yeni bir yapay zeka aracının, beyin tümörlerinin tedavisine yardımcı olabileceğini duyurdu.
Çalışmaya katkıda bulunan Profesör Kun-Hsing Yu, “Farklı türdeki gliomlar, farklı türde ameliyatlar gerektiriyor. Doktorlar, [bu araç sayesinde] beyin kanseri hastalarını ameliyat ederken anında geri bildirim almak için patoloji laboratuvarına bir parça örnek gönderebilir ve bir patolog, onlara doğru dokuyu kesip kesmediklerini veya hastanın ne tür bir kansere sahip olduğunu söylemeye yardımcı olabilir” dedi.
Yu, herhangi bir patoloğun, son teknoloji ürünü tıbbi tesislerde beyin dokusu örneği üzerindeki analizini genellikle 10-15 dakika içinde tamamladığını da sözlerine ekledi.
Yu ve ekibi, söz konusu teknolojinin, hastaların ameliyathanede geçirdikleri süreyi de azaltacağını kaydetti.
Yu, teknolojinin önümüzdeki birkaç yıl boyunca klinik kullanıma hazır olamayacağını, aracın Gıda ve İlaç İdaresi tarafından onaylanması gerekeceğini düşünüyor.
Massachusetts General Hospital’da Beyin Cerrahı Dr. Dan Cahill, yeni aracın isabetliliğinin etkileyici olduğunu belirterek, “Bir gliomun moleküler yapısını analiz eden geleneksel tekniklerden çok daha iyi” olduğunu söyledi.
Cahill ayrıca, “En uygun ameliyat türünün her hasta için farklı olduğunu” dile getirdi.
Birleşik Krallık’taki bilim insanları da kanser tespiti ve tedavisini iyileştirmek için bir araç olarak yapay zekaya başvuruyor. Bu yılın başlarında Londra’daki bir tıbbi araştırmacılar ekibi, “CT taramalarında tespit edilen anormal büyümelerin kanserli olup olmadığını belirleyebilen” bir yapay zeka aracı geliştirdi.
Yine Londra’da, Macar bilgisayar bilimcisi Peter Kecskemethy tarafından kurulan Kheiron Medical Technologies adlı bir yazılım girişimi, radyologların göğüs kanserini tespit etmelerine yardımcı olacak yapay zeka araçları geliştiriyor.
Kecskemethy, “Kanseri çözmek için yapay zekaya ihtiyacımız var ve bu, yapay zeka ile çözülebilir” dedi.

















