Etiket: yapay zeka
Instagram’da yapay zeka: Fotoğrafı yeniden hayal edeceğiniz biçimde şekillendirin!
Instagram'da yapay zeka: Fotoğrafı yeniden hayal edeceğiniz biçimde şekillendirin!
Instagram yapay zeka aracı geliştiriyor; Yapay zeka, Fotoğraftları yeniden biçimlendirecek ve istenmeyen nesneleri silebilecek.
Instagram, hikayeler kısmında...
Meta, 100’e yakın dili anlayan, çeviri ve transkripsiyon yapan yapay zeka...
Meta, 100'e yakın dili anlayan, çeviri ve transkripsiyon yapan yapay zeka modeli SeamlessM4T'yi geliştirdi.
Meta'dan yapılan açıklamaya göre SeamlessM4T, farklı dilleri konuşan insanların birbirleriyle daha...
Yapay zeka; bitkisel kaynaklardan sağlanan yaşlanma karşıtı 3 bileşik keşfetti
Yapay zeka; bitkisel kaynaklardan sağlanan yaşlanma karşıtı 3 bileşik keşfetti
Her üç bileşik de geleneksel bitkisel ilaçlarda bulunan doğal kaynaklardan elde edildi.
Yapılan bir araştırmaya göre,...
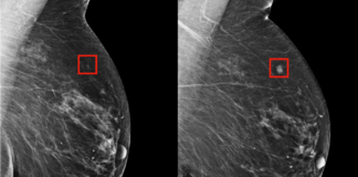
Yapay zeka meme kanserini radyologlar kadar etkili bir şekilde tespit edebiliyor. ,
Yapay zeka meme kanserini radyologlar kadar etkili bir şekilde tespit edebiliyor. ,
Yapay zeka meme kanseri tespitinde başarılı oldu
İngiltere Lund Üniversitesi’nden bilim insanları, yapay zekanın tespit...
Yapay zeka ile “Dünyanın en güzel yüzleri” oluşturuldu!
Yapay zeka ile “Dünyanın en güzel yüzleri” oluşturuldu!
Sosyal medyadan paylaşılan görüntüler kısa sürede gündem yaratmayı başardı.
AI'nın bu görüntüleri otonom olarak oluşturmadığını hatırlamakta fayda var.
Gidip...
Gazeteci’ yerine ‘Genesis’ diyebiliriz… Google’dan gazeteciler için ‘Genesis’ adlı yapay zeka...
'Gazeteci' yerine 'Genesis' diyebiliriz... Google'dan gazeteciler için 'Genesis' adlı yapay zeka editörü!
Google sözcüsü Jenn Crider yaptığı açıklamada, "haber yayıncılarıyla, özellikle de küçük yayıncılarla ortaklaşa...
Harvard: “Yapay zeka beyin tümörü tedavisine yardımcı olabilir; Kanseri̇ çözmek için...
Harvard: "Yapay zeka beyin tümörü tedavisine yardımcı olabilir; Kanseri̇ çözmek için de ona İhtiyacımız var"
Yapay Zeka, en yaygın beyin tümörü olan gliomaların analizine yardımcı...
📽️Göktürk Devleti hükümdarlarından Kül Tigin yapay zeka ile canlandırıldı
📽️ Göktürk Devleti hükümdarlarından Kül Tigin yapay zeka ile canlandırıldı
Günlük hayatımıza artık daha sık dahil olan yapay zeka bu kez Göktürk Devleti hükümdarlarından Kül...
Yazarlık da bitiyor… Dokuz ayda 97 mini roman yayınladı, sonra itiraf...
Yazarlık da bitiyor... Dokuz ayda 97 mini roman yayınladı, sonra itiraf etti: "Ben değil yapay zeka yazdı"
ABD'li bilim kurgu yazarı Tim Boucher, ChatGPT'nin de...
‘Yapay zeka’ Türkiye’de de haber sunmaya başladı
‘Yapay zeka’ Türkiye’de de haber sunmaya başladı
Yapay zeka teknolojisiyle geliştirilen robot sunucular, Türkiye’de kullanılmaya başlandı. Sosyal medya hesabı üzerinden geliştirilen ‘robot sunucu’ gündeme ilişkin...


















