Yapay zeka meme kanserini radyologlar kadar etkili bir şekilde tespit edebiliyor. ,
Yapay zeka meme kanseri tespitinde başarılı oldu
İngiltere Lund Üniversitesi’nden bilim insanları, yapay zekanın tespit başarı oranının iki radyologla birlikte yapılan normal teşhis süreciyle aynı olduğunu açıkladı.
Öte yandan bilim insanları bunun yaygın bir şekilde kullanılması için daha fazla araştırmaya gerek duyulduğunu da ekledi.
İngiltere’deki uzmanlar da yapay zekanın meme kanseri teşhisinde büyük potansiyele sahip olduğu konusunda hemfikir.
İngiltere’de daha önce yapılan yapay zeka denemeleri, geçmişte teşhis edilmiş meme kanseri röntgenleri üzerinden çalışırken; bu seferki araştırma, iki radyoloğun teşhis süreciyle eş zamanlı yürütüldü.
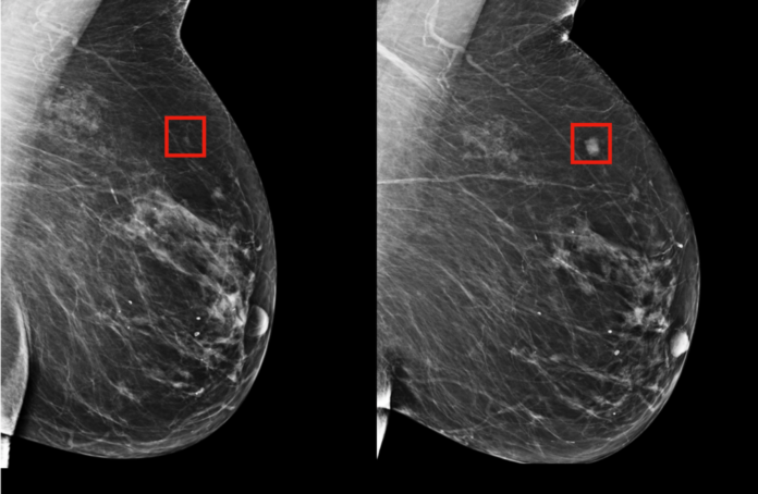
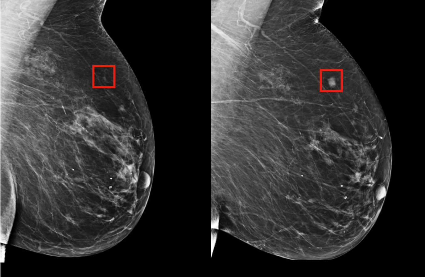
Lancet Oncology adlı hakemli dergide yayımlanan araştırmada İsveç’te ortalama 54 yaşındaki 80 binden fazla kadının mamografisi incelendi.
Görüntülerin yarısı normal prosedür olan iki radyolog tarafından incelenirken, diğer yarısı da yapay zeka tarafından incelendikten sonra bir veya iki radyoloğa sunuldu.
Standart yöntemde radyologlar 203 meme kanseri tespit ederken, yapay zeka 244 kadında meme kanseri olduğunu saptadı.
Yapay zekanın yanlış pozitif, yani meme kanseri olmayan birine kanser teşhisi koyma oranı da yüzde 1,5 olan normal prosedürle aynı çıktı.

















