Etiket: Cinsel organında atlama ipi
Böylesi ne görüldü, ne duyuldu; Adamın cinsel organından 2 metrelik atlama...
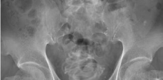
Böylesi ne görüldü, ne duyuldu; Adamın cinsel organından 2 metrelik atlama ipi çıktı
Olay Japonya’da meydana geldi. Ağrılar içinde hastaneye kaldırılan ismi açıklanmayan adam kasıklarında...









