Böylesi ne görüldü, ne duyuldu; Adamın cinsel organından 2 metrelik atlama ipi çıktı
Olay Japonya’da meydana geldi. Ağrılar içinde hastaneye kaldırılan ismi açıklanmayan adam kasıklarında acı hissettiğini söyledi. Dokkyo Tıp Fakültesi’nde gerçekleşen olayda adamın tuvalete çıkarken yanma hissi hissettiği de belirtildi.
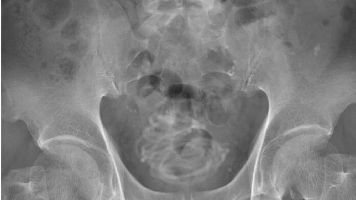
Röntgen çekildikten sonra adamın penisinden içeri atlama ipi yerleştirildiğini gören doktorlar şaşkına döndü. İngiliz medyasında yer alan haberlerde hastane çalışanları, “Kariyerimiz boyunca bu kadar aşırı bir şey görmedik” açıklamasını yaptı.
Yapılan zorlu bir ameliyat süreci sonrasında adamın penisinden atlama ipinin çıkarıldığı belirtildi. Atlama ipinin tutma kısımlarının olmadığı ve 2 metreden uzun olduğu belirtildi. İpin, idrar torbasında düğüm olduğu ve bu sebeple ameliyatın riskli geçtiği de belirtildi.
İpin ince olduğuna dikkat çeken doktorlar, ipin düğüm olması sebebiyle idrar torbasına bir delik açarak cerrahi bir müdahale gerçekleştirildiğini de duyurdu. Ameliyatın başarılı geçmesi için idrar torbasının 3-D modelinin yapıldığı ve bu sayede doktorların nasıl müdahale edeceklerinin anlaşıldığı açıklandı.
Fakat bilim insanları 79 yaşındaki adamın, bu ipi neden cinsel organına soktuğunu açıklamadığını dile getirdi.
















