Ana Sayfa 2022
Yıllık Arşiv: 2022
Yayın kuruluşları DW ve VOA, RTÜK’ün uluslararası haber sitelerinin yayın lisansı almalarına ilişkin kararını...
Yayın kuruluşları DW ve VOA, RTÜK'ün uluslararası haber sitelerinin yayın lisansı almalarına ilişkin kararını yargıya taşıyor.
Deutche Welle (DW) Genel Müdürü Peter Limbourg, “Bu, Türk...
Ukrayna: ‘Savaş çıkarsa Türkiye’den Boğazları kapatmasını isteyeceğiz’
Ukrayna: 'Savaş çıkarsa Türkiye'den Boğazları kapatmasını isteyeceğiz'
Ukrayna'nın Ankara Büyükelçisi Vasyl Bodnar, Karadeniz'de kendi sınırlarına yakın yerlere konuşlanmış Rus savaş gemilerini tehdit olarak gördüklerini söyledi.
İşgal...
İstanbul’da taksiler köprü geçişlerinde nasıl bir ücretlendirme uygulayacak?
İstanbul'da taksiler köprü geçişlerinde nasıl bir ücretlendirme uygulayacak?
Taksilerde yeni tarife açıklandı! Artık o ücreti alamayacaklar
Köprü geçişlerindeki tek yönlü ücretlendirmenin çift yönlü olarak değiştirilmesinin ardından...
TEKZİP METNİ
TEKZİP METNİ
Haber sitenizde 19.02.2022 tarihinde https://www.kentekrani.com/2022/02/19/kizim-asi-karsiti-bizden-uzak-tutun/
Müvekkilimiz SELDA SİPAHİOĞLU aleyhinde ve hakkında kaynağı belirtilmeksizin duyum şeklinde yayınlanan, doğru ve iyi bir şekilde araştırılmaksızın kaleme alınmış,...
Ev İşleri Yapmak Kalp Hastalığı Riskini Azaltıyor!
Ev İşleri Yapmak Kalp Hastalığı Riskini Azaltıyor!
Yeni bir çalışma , günde sadece 30 dakika hareket etmenin, oturmak yerine temizlik gibi 'iyi huylu' bir şey...
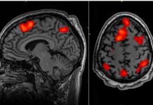
‘Beyin, ölüm ve sonrasında bile aktif ve koordineli kalabiliyor!’
'Beyin, ölüm ve sonrasında bile aktif ve koordineli kalabiliyor!'
Bilim adamları ölmekte olan bir kişinin beyin aktivitesini ölmeden sadece 15 dakika önce kaydetti ve şaşırtıcı...
BAE’den Sedat Peker’in Türkiye’ye iadesi amacıyla geçici tutuklanması talep edildi.
BAE'den Sedat Peker'in Türkiye'ye iadesi amacıyla geçici tutuklanması talep edildi.
Adalet Bakanlığı, Birleşik Arap Emirlikleri'nden, hakkında kırmızı bülten çıkarılan Sedat Peker'in Türkiye'ye iadesi amacıyla geçici...
Dereköy’de, kömür ocağı için ‘ÇED gerekli değildir’ kararına, yürütmeyi durdurma!
Dereköy’de, kömür ocağı için 'ÇED gerekli değildir’ kararına, yürütmeyi durdurma!
Antalya Korkuteli’nin Dereköy Yaylası’nda yapılması planlanan kömür ocağı için verilen ‘ÇED gerekli değildir’ kararına itiraz...
DSÖ : BA.2, diğer alt varyantlara göre daha bulaşıcı!
DSÖ : BA.2, diğer alt varyantlara göre daha bulaşıcı!
Dünya Sağlık Örgütü (DSÖ), Covid-19'un Omicron varyantının giderek yayılan alt türlerinden BA.2'nin, diğer alt varyantlara göre...
Başakşehir, geriden gelip kazandı. Başakşehir 2-1 Konyaspor
Başakşehir, geriden gelip kazandı. Başakşehir 2-1 Konyaspor
Süper Lig'de 21. haftanın erteleme maçında Medipol Başakşehir, konuk ettiği İttifak Holding Konyaspor'u 1-0 geriye düştüğü maçta 2-1 mağlup...


















