‘Beyin, ölüm ve sonrasında bile aktif ve koordineli kalabiliyor!’
Bilim adamları ölmekte olan bir kişinin beyin aktivitesini ölmeden sadece 15 dakika önce kaydetti ve şaşırtıcı sonuçlar ortaya çıkardı.
Çalışma, 87 yaşında bir epilepsi hastası üzerinde yapıldı.
Hasta, ölmeden önce beyin aktivitesinin kaydedilmesine izin verdi.
Araştırmacılar, ölen kişinin beyninde, rüya görme ve meditasyon anına benzer “ritmik beyin dalgası kalıpları” buldu.
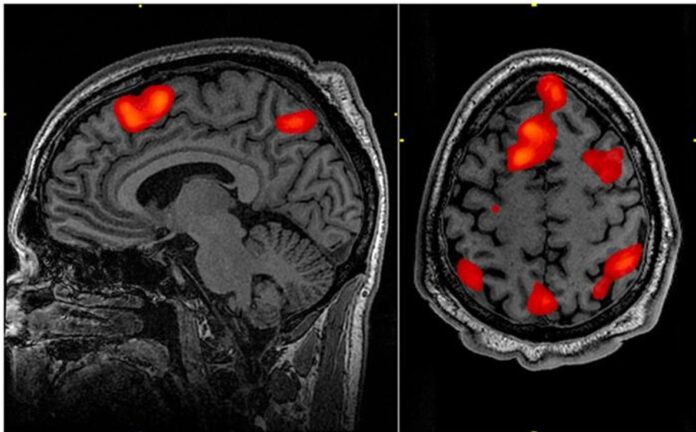
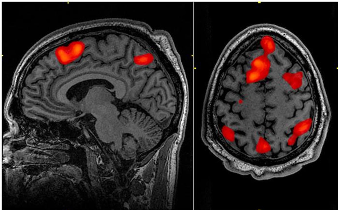
ABD’deki Louisville Üniversitesi’nde beyin cerrahı olan Dr Ajmal Zemmar, “Ölüm sırasındaki 900 saniyelik beyin aktivitesini ölçtük ve kalbin durmasından önceki ve sonraki 30 saniye içinde neler olduğunu araştırmak için özel bir odak belirledik” dedi.
Araştırmada, normalde canlı insan beyninde bulunan ritmik beyin aktivitesi kalıpları tespit edildi.
Dr Zemmer, “Kalbin çalışmayı durdurmasından hemen önce ve sonra, gama salınımları olarak adlandırılan belirli bir sinirsel salınım bandında ve ayrıca delta, teta, alfa ve beta salınımları gibi diğerlerinde de değişiklikler gördük” dedi.
“Yaşlanma Nörobiliminde Sınırlar” da yayınlanan çalışma , “beynin ölüme geçiş sırasında ve hatta sonrasında aktif ve koordineli kalabileceğini ve hatta tüm çileyi düzenlemek için programlanabileceğini” söyledi.
Dr. Zemmar şunları söyledi: “Bu araştırmadan öğrenebileceğimiz bir şey, ölen kişilerin beyinlerinin hayatlarında yaşadıkları en güzel anlardan bazılarını tekrarlıyor olabileceğidir”

















