Etiket: beyin
🎥Bir ilk; 10 milyon nöronun ayrıntıları yer alıyor; beynin şimdiye kadar...
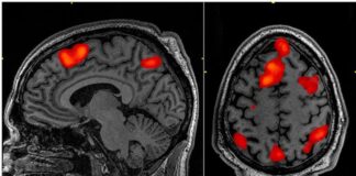
Bilim insanları beynin şimdiye kadar oluşturulmuş en detaylı haritasını ortaya çıkardı.
Büyüleyici grafikte yaklaşık 10 milyon nöron, 26 milyar...
Zeynep Nurten UZER; Beyin gençken değil orta yaştayken zirvede
Anne karnında oluşmaya başlayan, çocuklukta 5 yaşına kadar çok hızlı gelişen beynin bu süper ilerlemesi ergenlik çağında sona erse de kapasitesini daha...
Başparmak uzunluğu ile beyin büyüklüğü ve zeka arasında şaşırtıcı bir bağlantı...
Yeni bir bilimsel araştırmaya göre, özellikle uzun başparmakları olan kişiler, özellikle zeki olabilirler.
Reading ve Durham üniversitelerindeki bilim insanları,...
Araştırma: COVID-19 beyini yaşlandırdı!
Britanya’da araştırmaya göre, Covid-19 döneminde insanların beyinleri, 2020 öncesine kıyasla ortalama beş buçuk ay daha hızlı yaşlandı.
Bu artış,...
Egzersizten sonra beynin aldığı kısa vadeli enerji artışı ertesi gün de...
Bilim insanları egzersizin beyne olan faydalarının bir gün sonra da hissedilebildiğini keşfettiler.
Londra Üniversitesi araştırmacıları,belirli bir günde normalden yapanların fazla...
Beyne yerleştirilen ‘implant’ ile ağır depresyon hastaları tedavi edilecek.
Beyne yerleştirilen 'implant' ile ağır depresyon hastaları tedavi edilecek.
Araştırmacılar, derin beyin stimülasyonu (DBS) olarak bilinen tedavi yönetimini, ağır depresyon vakalarında da uygulamak istiyor.
LDBS, beynin belirli bölgelerine...
Doktorlar, korkunun beyinde mutlulukla aynı merkezleri uyardığını söylüyor.
Doktorlar, korkunun beyinde mutlulukla aynı merkezleri uyardığını söylüyor.
Pek çok kişi korkunun büyük ölçüde olumsuz bir tepki olduğunu düşünse de doktorlar, korkunun mutlulukla aynı beyin...
Strese bağlı, bilinçsiz anıları saklayan özel beyin mekanizması keşfedildi
Strese bağlı, bilinçsiz anıları saklayan özel beyin mekanizması keşfedildi
Uzak geçmişteki travma yaratan anılar beynin ön bölümünde depolanıyor
Her şey yolunda olduğunda, beynimiz dünyadaki en büyük...
‘Beyin, ölüm ve sonrasında bile aktif ve koordineli kalabiliyor!’
'Beyin, ölüm ve sonrasında bile aktif ve koordineli kalabiliyor!'
Bilim adamları ölmekte olan bir kişinin beyin aktivitesini ölmeden sadece 15 dakika önce kaydetti ve şaşırtıcı...
Beyninde pıhtı atması sonucu hastaneye kaldırılan Kadir İnanır’la ilgili açıklama…
Beyninde pıhtı atması sonucu hastaneye kaldırılan Kadir İnanır'la ilgili açıklama...
Muğla'nın Ortaca ilçesinde rahatsızlanan Kadir İnanır, ambulansla Denizli’ye getirildi.
Pamukkale Üniversitesi Hastanesi'ne kaldırılan İnanır, yoğun bakıma...


















