Bir İngilizin hapşırığını tutmaya çalışması nefes borusunda delik açılmasına neden oldu.
Uzmanlar bu tür bir yaralanmanın dünyada bir ilk olduğuna inanıyor.
Hapşırık krizine yakalanan 30’lu yaşlardaki adam, hapşırığını serbest bırakmak yerine ağzını ve burnunu sıkıca kapatınca, zapt edilen hapşırığın gücü nefes borusunda 2×2 milimetrelik bir delik açtı.
Tedaviyi üstlenen doktorlara göre bu kötü yaralanma, adamın solunum yollarını kapatması sonucu oluşan basıncın, normalde yaşayacağımızdan 20 kat daha güçlü bir etki oluşturması nedeniyle meydana geldi.
Adam hastaneye vardığında boynunun her iki tarafı da şişmiş ve şiddetli ağrılara neden olmuştu, ancak hala sorunsuz bir şekilde nefes alabiliyor, yutkunabiliyor ve konuşabiliyordu.
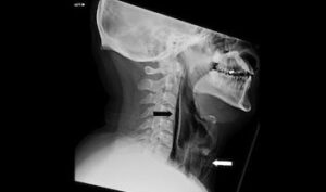
Röntgen çekildikten sonra, “cerrahi amfizem” adı verilen ve havanın kişinin vücudundaki en derin dokunun altında sıkışıp kalabildiği bir rahatsızlığı olduğu anlaşıldı. Hava, adamın boynundaki omurların yanı sıra göğsü ile akciğerleri arasındaki boşlukta sıkışıp kalmıştı.

Doktorlar tarafından yapılan kontroller neticesinde adamın ameliyata ihtiyacı olmadığı ve yırtığın, “soluk borusunda oluşan basınçtan kaynaklandığı” belirlendi.
İki gün boyunca hastanede tutulan adam, ağrı kesici ve saman nezlesi tedavisinin ardından taburcu edildi ve kendisine iki hafta boyunca yorucu fiziksel aktivitelerden kaçınması tavsiye edildi.
Uzmanlar, hapşırma yaklaştığında , onu dışarı çıkarmanın en doğru yol olduğunu belirtiyor.
.
















