Etiket: Hindistan
📽️Hindistan’daki tren kazasında can kaybı 294’e yükseldi; sayının 380’e ulaşmasından endişe...
📽️Hindistan'daki tren kazasında can kaybı 294'e yükseldi; sayının 380'e ulaşmasından endişe ediliyor
Hindistan'da son yılların en büyük tren kazasında en az 288 kişi hayatını kaybetti....
📽️Hindistan’da tren kazası; ilk belirlemelere göre 50 kişi öldü
📽️Hindistan’da tren kazası; ilk belirlemelere göre 50 kişi öldü
Hindistan'ın doğusundaki Odisha eyaletinde Cuma günü iki yolcu treninin çarpışması sonucu en az 50 kişi öldü,...
Suya düşen telefonu bulmak için barajdan binlerce litre suyu boşalttı; görevden...
Suya düşen telefonu bulmak için barajdan binlerce litre suyu boşalttı; görevden alındı!
BBC'nin bildirdiğine göre, Gıda müfettişi Rajesh Vishwas telefonu suya düşürdüğünde selfie çekiyordu.
Hindistan'ın Chhattisgarh...
📽️Damat düğününden kaçtı, gelin kovalayıp istediğini aldı !
📽️Damat düğününden kaçtı, gelin kovalayıp istediğini aldı !
Hindistan'da gelin, düğünden kaçan damadı en az 20 kilometrelik kovalamacadan sonra yakalayıp nikah masasına oturttu.
Hindistan'da gelin, düğünden...
📽️ Hindistan’da turist teknesi alabora oldu: En az 21 ölü
📽️ Hindistan'da turist teknesi alabora oldu: En az 21 ölü
Yetkililer, geminin aşırı kalabalık olması nedeniyle alabora olduğunu ve kurbanların çoğunun okul tatilinde olan çocuklar...
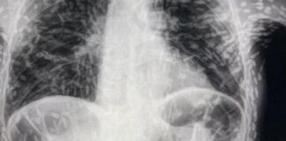
Tenya’ların bu kadar saldırgan olduğunu kim tahmin ederdi! Organları deldi geçti,...
Tenya'ların bu kadar saldırgan olduğunu kim tahmin ederdi! Organları deldi geçti, beyne yumurtalarını bıraktı!
Brezilyalı doktorlar, kendilerini şaşırtan bir vakanın röntgen görüntülerini paylaştı. İyileşmeyen öksürük...
📽️Fil, muz’uyla dalga geçen kadını havada savurup fırlattı!
📽️ Fil, muz'uyla dalga geçen kadını havada savurup fırlattı!
Kadın, filin gazabına uğramadan önce meyveyi ağzına doğru tutarak onunla alay etti.
Dişi fil, kendisiyle böylesine oyun...
“-İnek nerede? -Dağa kaçtı. -Dağ nerede? -Yandı, bitti kül oldu” Buna...
"-İnek nerede? -Dağa kaçtı. -Dağ nerede? -Yandı, bitti kül oldu" Buna benzer: Tren ineğe çarptı, inek işeyen adamın üzerine düştü, adam öldü!
Hindistan'da demiryoluna işeyen...
Bir efsane birinciliği Hindistan’a kaptırdı;dünyanın en kalabalık ülkesi artık Çin değil...
Bir efsane birinciliği Hindistan'a kaptırdı;dünyanın en kalabalık ülkesi artık Çin değil Hindistan.
BM tahminlerine göre dünyanın en kalabalık ülkesi artık Çin değil Hindistan. Bunun küresel...
Rahat durmuyor, mutasyona uğradı; geri geldi! Yetmezmiş gibi maske kararı aldırttı!
Rahat durmuyor, mutasyona uğradı; geri geldi! Yetmezmiş gibi maske kararı aldırttı!
Hindistan’da yeni bir corona virüsü varyantı keşfedildiği ve “Arcturus” varyantı adı verilen bu mutasyonun...


















